肤康首创分型祛痘的优势

肤康分型祛痘

轻度-粉刺型痘痘

适合人群: 白头粉刺、黑头粉刺、丘疹型痘痘

治疗过程:

通过治疗,解决皮脂分泌过多、毛囊皮脂腺导管堵塞问题,使得皮肤表层毛囊壁恢复正常,正常排除皮脂腺,痘痘消失后适度中药调理即可。

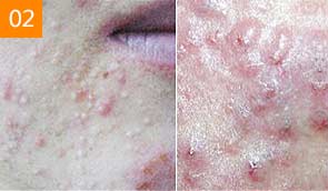
中度-丘疹脓包型痘痘

适合人群: 脓包型痘痘、结节型痘痘、痘印

治疗过程:

通过中度痘痘治疗,解决细菌感染、炎症发作和过度角化等问题,阻止细菌繁殖和炎症进一步发展。

重度-结节囊肿型痘痘

适合人群: 囊肿型痘痘、聚合型痘痘、痘坑等

治疗过程:

通过重度痘痘治疗,解决毛囊壁破裂导致的皮肤正常组织受损问题,抚平痘痘皮损。

电话询问 在线询问
给你推荐一位祛痘好医师-苗春宇主任

沈阳肤康祛痘医师苗春宇主任,针对沈阳肤康青春痘实验室提供的庞大临床数据,对痘友进行了临床研究,根据检查数据,把痘痘归为3大类,190个小分类,锁定痘友肤质,采用中西医结合,对症祛痘,修复痘肌。

苗主任于国际皮肤盛会接受CCTV采访

2015年,肤康中医纳米波平衡理疗凭借优异的临床疗效,荣膺国际皮肤病诊疗新技术(青春痘)定点推广机构殊荣。

沈阳肤康专业祛痘医师

96%痘友关注以下问题

积极响应国家“网上预约挂号”政策

温馨提醒:预约成功患者,系统会将医师号和医院地址下发到您的手机,请注意查收。